ティーズデンタルオフィス茅場町のホームページ
茅場町駅3分永代通り沿いの
ティーズデンタルオフィス 茅場町
  • ホーム 当院について
  • 治療のご案内・症例写真
  • 院長・スタッフ・院内環境のご案内
  • 初診のWEB予約・再診LINE予約
  • アクセス
  • ご連絡
  • リンク

◼︎各種治療のご案内

当院における各種治療内容における、期間・費用の一覧です。

検査や処置を通して診断・治療方針が変更になることがあります。また保険診療における料金は、国が数ヶ月おきに随時改訂しており、半年前一年前と必ず同じとは限りません。この情報はあくまで目安ですので、実際の診療はこのとおりに実施されないことがあることをご了承ください。

ダウンロード
診療内容のご案内
2024年度前期ver
診療内容PDF2024年度版.pdf
PDFファイル 1'018.2 KB
ダウンロード

◼︎当院の診療基本コンセプト

当院では、歯周基本治療・メインテナンス・定期検診などと呼ばれるものが、すべての歯科治療の根幹をなすものであると考えております。高度先進医療の分野も虫歯もインプラントも、口腔内の衛生状態が最良で歯周組織が安定している状態の上に、治療の成功が成り立ちます。
ですので、歯科治療の成功の鍵(人生の質の向上)は健康な歯周組織(歯肉・骨)です。
この歯周組織を回復・維持するためには、継続的なメインテナンスが欠かせません。

「歯医者に行ったら、治療が終わってもしつこく定期検診の知らせが来る」
「痛くもないし困ってないのに、歯石を取ったり歯ブラシ指導される」

こんな歯科医院は、最高なところだと思います。
患者さまに嫌がられ求められなくても、慈善事業レベルの保険点数で歯周組織をがっちり守ります。歯周治療において「完治・治癒」はありません。患者さまのライフステージに合わせて必要な歯周治療を、定期的に行うことで「疾患の進行抑制・維持」をするものなのです。
当院では、一連の治療期間中に、患者さまに上記のことをご理解いただけるように努力いたします。
ご不安なお気持ちがあるかとは思いますが、どうぞ遠慮なくお尋ねください。


◼︎治療について

当院の治療は保険診療をベースに進めております。しかし限られた材料限られた時間で行う保険診療では、患者さまの口腔内の健康維持のために不足が生じる場合もございます。

 

例①:何回治療してもくり返しムシ歯になってしまう

→保険の材質はプラークが付着しやすいため、どんなに食生活に気をつけブラッシングを頑張っても、二次的なムシ歯ができてしまう。セラミックのインレーやクラウンは、プラークがほとんど付着しないため、思いきってメタルやレジンを除去しセラミックでやり変えたところ、ムシ歯の再発がなくなった。

 

例②:保険の入れ歯は大きくて違和感が強く使えない
→異物感が極めて少なく、高フィットで柔らかい保険外の入れ歯にしてみたら、ストレスが激減した。小さく目立たないので安心して過ごせるし、外れてしまったり物が挟まることもなく快適に食事が摂れる。

 

例③:ムシ歯や欠損歯を放置してしまったら、保険では治療できないと言われた

→保険診療には様々な決まり事があり、患者さまの理想とする設計が通らないこともある。保険外で治療すれば、削る量も少なくご自分の歯を多く残せることもある。

 

患者さまのご希望に沿いながら、より良い口腔の健康維持のために、保険外(自由診療)のご説明をすることもございます。わたくし共は個々の患者さまに合わせてご提案しますので、ぜひご不明点など遠慮なくお聞き下さい。決して法外な値段ではなく、技術料・技工料・最上位の材質なども含め適正価格でやらせていただいております。


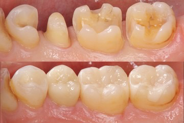
◽️ムシ歯治療

初診の患者さまで、定期検診を受けられていなかった9割の患者さまに、初期〜要治療のムシ歯が発生しています。

それだけ身近な疾患でありながら、痛みを感じるまで放置してしまいがちなのがムシ歯。
しかし、痛みを感じる頃には進行し治療回数も費用もかかってしまいます。
ごく初期のムシ歯であれば、治療をせずに予防処置だけで一生過ごすことも可能です。
半年に一度は定期検診を受けて、ご自身の天然歯を大切にしていきましょう。

 

治療について
ムシ歯の部位と範囲のご説明、および詰め物や被せ物の材質についてご相談の上表面(粘膜)麻酔薬と浸潤麻酔を併用し、痛みを感じにくい治療を心がけています。
歯を削る量は最小限とし、かつ割れづらく壊れにくい形態を付与します。

むし歯が神経に達してしまった場合にも、なるべく神経を残せる処置を施し、それでも難しい場合は、速やかに神経の除去、根管治療を行います。

 

(治療過程の画像を記録して患者様に説明しご納得いただいて進めてまいります)

 

保険治療:コンポジットレジン充填、パラジウム合金インレー・クラウン 等

保険外診療:セラミックインレー、セラミッククラウン、20K、メタルボンド 等

 

 

 

新たに治療する際だけでなく
過去の治療を、メタルレスへされる患者様が増えています。保険の銀歯は12%パラジウム合金 (82%は混ぜ物の金属) もしくはAgですので、今までは大丈夫でも常に金属アレルギーのリスクがあります。

セラミックは生体への影響はなく、硬さも色も天然歯同様の美しさを追求することができ、プラークもほとんど付かないので二次的な虫歯を予防することにつながります。

当院で取り扱うセラミックは、ジルコニアフレームの物のみで、割れやすいハイブリッドは取り扱っておりません。

 

セラミックインレー 66,000円

セラミッククラウン 135,000円

セラミックブリッジ 135,000円×本数分(連結費用無料)

セラミックのクラウンにする際には
必ずテンポラリークラウン (仮歯) を作製し

最終的な補綴物をセットする時まで、使用します。
またご自身の歯を支台歯として使えない場合は、グラスファイバーコアという土台を新たに作製する必要があります。

テンポラリークラウン 3,000円

グラスファイバーコア  20,000円

残念ながら歯を失ってしまい、前後の歯を橋脚としてブリッジにできない場合は、インプラントを埋伏して人工歯を作るか義歯 (入れ歯) を作る必要があります。何もしないでいるのは残存歯の喪失を早めます。

初めての方にはまず保険で義歯を作製しますが、フィット感や審美性、使用感すべてにおいて保険外の義歯が優れると言われております。

 

前後の歯に金具を掛けないノンクラスプデンチャー 片側180,000円 両側360,000円

残存歯がない場合 金属床の総義歯 380,000円から〜 (設計や使用する金属による)

 

 


◽️歯周病治療

歯を失う最大の原因である歯周病ですが、
多くの患者様がご自身が気づかないうちに歯周病を発症しています。
日本人の成人のうち約80%の方が歯周病に罹患していると言われています。

 

◼︎最後に歯石を取ってから1年以上経過している
◼︎デンタルフロス (糸ようじ) や歯間ブラシを日常的に使っていない
◼︎歯磨きをすると唾液に血が混じることがある

◼︎寝起きの口臭が気になる

上記の3つのうち、1つでも当てはまる方は歯周病が発症している可能性が高いです。


当院ではまずレントゲン写真および歯周検査の実施と説明をおこない患者さま自身に  

歯周病について理解を深めていただきます。

そして、それぞれの患者さまの歯周病の進行具合に合わせた治療の実施とともに歯周病

が進行しないように患者さま自身がご自分の口腔の健康を守っていけるように、日々の

ケアの方法を習得し、継続してメインテナンスを行ってまいります。

(※歯石の除去やブラッシングの前後など画像に記録した上で、常に口腔衛生が良好な状態を維持できるように整えてまいります。)

 

保険診療:歯石の除去・SRP・FOPなど歯周病の治療全般

保険外診療:重度の着色の除去

 

 


◽️口腔外科

大学病院の口腔外科に勤務していた経験から、
効果的で痛くない麻酔、早く丁寧で侵襲の少ない術式、術後の腫れや痛みが少ない結果
を心がけ手術を行っています。 

 

・親知らずの抜歯 (横に生えているもの、歯肉の中にあるものなど難抜歯を含む)

・普通抜歯 (重度歯周病で保存不可能な歯、歯根破折、歯列矯正の抜歯、乳歯抜歯など)

・口腔内の粘膜炎
・舌の異常
・顎関節症 (生活習慣改善•投薬治療•マウスピース治療)

※全て保険診療可能 


◽️小児歯科

対象は0歳~18歳ころまで。
現代はむし歯が1本もない状態で成人するお子さんが大半です。
そのためには、日々のご家庭でのケアや食事の内容が重要です。
また各月齢・年齢・乳歯や永久歯の萌出状態によって、予防的な歯科処置が随時変わっていきますので、定期的検診が重要となります。
お子さんと保護者様のパートナーとして、是非歯科診療所をご利用ください。
※医療証をお持ちであれば、全て無料で実施できます。


保険診療:歯垢染め出しブラッシング指導、シーラント (予防填塞)、衛生管理など
保険外診療:フッ素塗布 (※当院では無料で行っています)

 

 


◽️予防歯科

「医者知らず」は健康的で素晴らしいことですが、
「歯医者知らず」は健康的でないことがほとんどです。

◼︎むし歯は《むし歯菌》、歯周病は《歯周病菌》による細菌感染症です。
風邪やインフルエンザなどの細菌感染・ウィルス感染は、感染して症状が出てもヒトに備わっている免疫力・抵抗力で自然治癒し元の元気な状態に回復することが可能です。
しかし、歯や歯を支えている骨などの硬組織は、細菌感染をおこすと、ごく初期の間は自力で修復しようとしますが、ある一定の感染期間を超えて破壊が始まってしまうと、自然に修復されることはまずありません。

そして、歯が痛い、口が臭う、歯がぐらつく、などの症状を自覚する頃にはかなり進行してしまっている状態であると言えます。

 

◼︎《むし歯菌》も《歯周病菌》も、成人の場合はすでに口腔内に感染してしまっています。

ですから、一度治療が済んでも繰り返しむし歯になることはありますし、歯を磨いていても歯周病が進行してしまうこともあります。
特に痛くないからと放置していまったり、自覚症状でつらいと感じるまで歯科を遠ざけてしまうと、ご自身の思っているよりずっと深刻な状態に進行してしまっていて、治療をしても元には戻せず、最悪歯を失ってしまう原因になることもあります。

 

◼︎自覚症状がなくても予防的に歯科診療所を利用しましょう。
医科と異なり、歯科は予防処置にも保険が適応されています。
定期的に歯科診療所を訪れ、むし歯や歯周病が進行していないかのチェック、疾患進行予防処置の施行、細菌数のコントロール、セルフケアの技術習得、要注意箇所の把握などおこないましょう。
どんなに歯磨きが得意な方でも、半年に一度の定期検診がオススメです。
そうすれば、もし治療を要する場合でも軽度の処置(痛みの伴わない治療)で済むことがほとんどです。

 

〜定期検診の流れ〜

→全身的な健康状態の把握と口腔内の自覚症状の確認
→口腔内写真撮影(全顎)→歯周検査→プラークチェック→歯石や軽度の着色除去
→むし歯になりそうな歯•要治療歯の撮影とご説明→予防処置→次回の検診までのご注意


◽️審美治療

厚生労働省医療広告ガイドライン(法第6条の5第1項第6号。第8号及び第11号関係)に則り掲載しております。


◼︎メタルフリー

 

むし歯菌に感染してしまった歯質の除去

ごく小さな範囲であればコンポジットレジン(歯と同じ色)充填でおこないますが、

広範囲の場合は詰め物(インレー)になります

 

保険診療の場合、使用できる材料は
銀色の12%パラジウム合金もしくは
Ag(銀)になります

 

保険外診療の場合、当院では
生体親和性の高い18〜20K(ゴールド)と
セラミックインレー(オールセラミックスカタナ)を使用しています
セラミックは残っている歯質と同じ色調とし、歯の裂溝も合わせるので、非常に美しい仕上がりとなります

 

むし歯の範囲が大きく、神経まで達してしまった場合は
歯髄(歯の血管と神経)の除去をおこない、土台を立てて
被せ物(クラウン)をします

 

保険診療であれば、
銀色のAg(銀)%もしくはパラジウム合金の被せ物になります
(前歯には表側だけ白いプラスチックを貼ります)
(小臼歯は全体が白いプラスチックの被せ物に出来る場合があります)

 

保険外診療であれ18〜20K(ゴールド)か

オールセラミッククラウンを使用しています。
セラミックは天然歯と全く同じ色調や形態、細かな溝やステインを付けることも出来るので、非常に頑丈で美しい仕上がりになります

◼︎PMTC(ピーエムティーシー)

 

歯科で受けられる最上級のクリーニングがPMTC (ピーエムティーシー) です。

歯石除去・着色除去・歯周ポケット内から歯全体を滑沢に磨き上げ、高濃度フッ素コーティングで仕上げることで、虫歯予防及び歯周病を予防します。数回行っていくことで、着色もプラークも付着しづらくなります。終わったあとの口腔内のサッパリ感や歯面のツルツル感をぜひ体感して下さい。

 

13000円

◼︎ホワイトニング

欧米では大人のマナーとしてポピュラーな歯のホワイトニング。歯への悪影響は特にありません。
当院では、再着色・知覚過敏が起こりにくい「ホームホワイトニング」と

ご自身の天然歯であれば約1時間の処置で白くなる「オフィスホワイトニング」をおこなっております。

また「オフィス」「ホーム」を併用する「デュアルホワイトニング」は最も白さを維持できる方法でオススメです。


【ホームホワイトニング】

PMTCを受けて頂いた後、患者様専用のマウスピースを作製します。ご自宅など患者さまのお好きなタイミングでホワイトニングジェルを流し、数時間はめて過ごしていただきます。おおよそ2週間の使用で満足感を得ることができ、その後はお好きなタイミングで年に1〜2回することで、白い状態を維持することができます。透明感のある美しい白さを維持出来ます。

• ホワイトニングトレー+28日分のホワイトニングジェル 35000円

• 追加のホワイトニングジェル(10%・20%・35%・45%) 15000円

 

【オフィスホワイトニング】

白くしたい部分のクリーニングを行い、歯肉を保護してから歯面にホワイトニングジェルを塗布します。専用の光照射器で薬剤反応を活性化し、数分で歯を白くします。最後に歯面を強化する処理をして終了です。一度の処置で白さを実感して頂けます。

• オフィスホワイトニング 20,000円

• 2週間以内の追加ホワイトニング割引 18,000円

• オプション 知覚過敏予防処置 5,500円

 

【デュアルホワイトニング】

ホームホワイトニングとオフィスホワイトニングを併用する方法です。

当院スタッフは、オフィスで一気に白くした後にホームでじっくり白さをUP、維持しております。また、ホームを時々しながら、イベント前にオフィスの併用など、バリエーションは様々です。

オフィスとホーム、両方を当院でおこなってくださる場合に割引がございます。お気軽にご相談ください。

 


◽️クレジットカード、医療ローンもご利用いただけます


自由診療で税込1万円を超えるのお会計の際にクレジットカードをご利用いただけます。分割払い、ボーナス払いも可能です。

医療ローンもご利用いただけます。医療ローンは6回払い以上ですと、クレジットカードより手数料が安くなるお支払い方法です。

申し込みや審査は、患者様にQRコードをお渡しし、スマートフォンやタブレットで患者さま自身でおこなっていただきますので、ご自身のタイミングで5〜10分ほどで申し込みが完了いたします。個人情報を当院が見ることはございません。

詳しくはスタッフまでお問い合わせください。


◽️マイナンバーカードと保険証利用について


 

厚生労働省によりマイナンバーカードを保険証として利用し、医療機関窓口業務の効率化や、受診される方の利便性向上を実現する「オンライン資格認定」を導入しています

 

当院でもマイナンバーカードと健康保険証を紐付けすることが可能です。

健康診断結果やお薬手帳を持ち歩く必要がなく、またその情報開示は、患者さまが選択出来ますので、知られたくない情報は伏せる事が可能です。
マイナンバーカードをお持ちでない患者様は、資格確認書お持ち下されば、今までと同じように保険診療を受けることが可能です。
(当院では2022年4月より、運用開始いたしました)


◽️感染対策について


 

スタンダードプリコーション(ユニバーサルプリコーション)とは

生体から出る全ての液体(唾液、血液、滲出液、便や尿など)は、未知の病原菌やウイルスを含む可能性があるという考え方で、差別なく感染防止対策を行うことをことです。
歯科医療に従事する専門職として、患者様及び職員への感染伝播や健康被害が起きないように、日頃から細心の注意を払い診療しております。
詳しくは、院内環境のページをご覧ください。
 
定期検診や歯周治療、メンテナンスなどの口腔ケアは、新型コロナウイルス感染拡大以前より、歯科疾患予防及び肺炎予防のエビデンスが認められております。
ご心配なことがありましたらご連絡を下さいますようお願いいたします。

◽️医療情報取得加算について


当院はマイナンバーカード(マイナ保険証)によるオンライン資格確認を通じて患者さまの診療情報を取得・活用することにより、質の高い医療の提供に努めている医療機関(医療情報取得加算の算定医療機関)です。

概要 | プライバシーポリシー | Cookie ポリシー | サイトマップ
Kayabacho-dental Office All Rights Reserved 2013
ログアウト | 編集
  • ホーム 当院について
  • 治療のご案内・症例写真
  • 院長・スタッフ・院内環境のご案内
  • 初診のWEB予約・再診LINE予約
  • アクセス
  • ご連絡
  • リンク
  • トップへ戻る